Smile Makeover Brooklyn, NY : Smile Makeover Smile Enhancement Bay Ridge, NY
Description
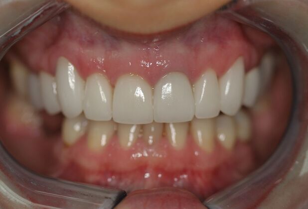
Patient underwent restorative treatment to create a smile enhancement that is almost too good to be true, but it is true. A beautifully produced smile that gave this patient a newfound confidence to show the real personality that was hidden behind an unesthetic and failing cosmetic dentition.






