Smile Makeover Brooklyn, NY : Smile Makeover Replacing Unbecoming Restorations Bay Ridge, NY
Description
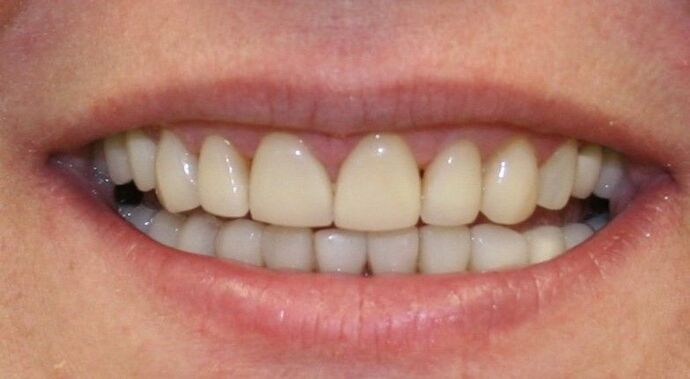
It is better to avoid having a healthy dentition restored by a dentist that is not skilled in planning and performing smile makeovers. The after in this case is emblematic of a properly executed smile enhanced that provides a natural esthetic and attractive smile that also will function for decades.




