All-on-4 Dental Implants
Did you have your heart set on implant-supported dentures, only to find out you didn't have the bone tissue to qualify?
With the All-on-4® technique, Bay Ridge-area dentist Anthony Ramirez, DDS, MAGD, may be able to restore your hope — and your smile.
Visit our welcoming Bay Ridge, NY, dental office to see if you're a good candidate for this type of advanced implant-supported denture.

The All-on-4 Dental Implant Procedure Completes Your Smile in Just One Day
How the All-on-4 System Makes Candidacy Possible for More Patients

When you've lost a tooth, you also start to lose bone tissue. That's because the roots of our teeth stimulate our bone tissue, keeping it strong and healthy.
Unfortunately, periodontal disease, or gum disease, can also lead to bone loss too. Because these conditions are often what cause a patient to need dentures, it can lead to a tricky challenge. Essentially, dental implants need bone to fuse with, so they can anchor your prosthesis.
As a result, many dental implant patients may need a surgical treatment called bone grafting before receiving traditional implants. All-on-4 dental implants allow our patients to avoid this preparatory treatment entirely, as they need less jawbone tissue to fuse with.
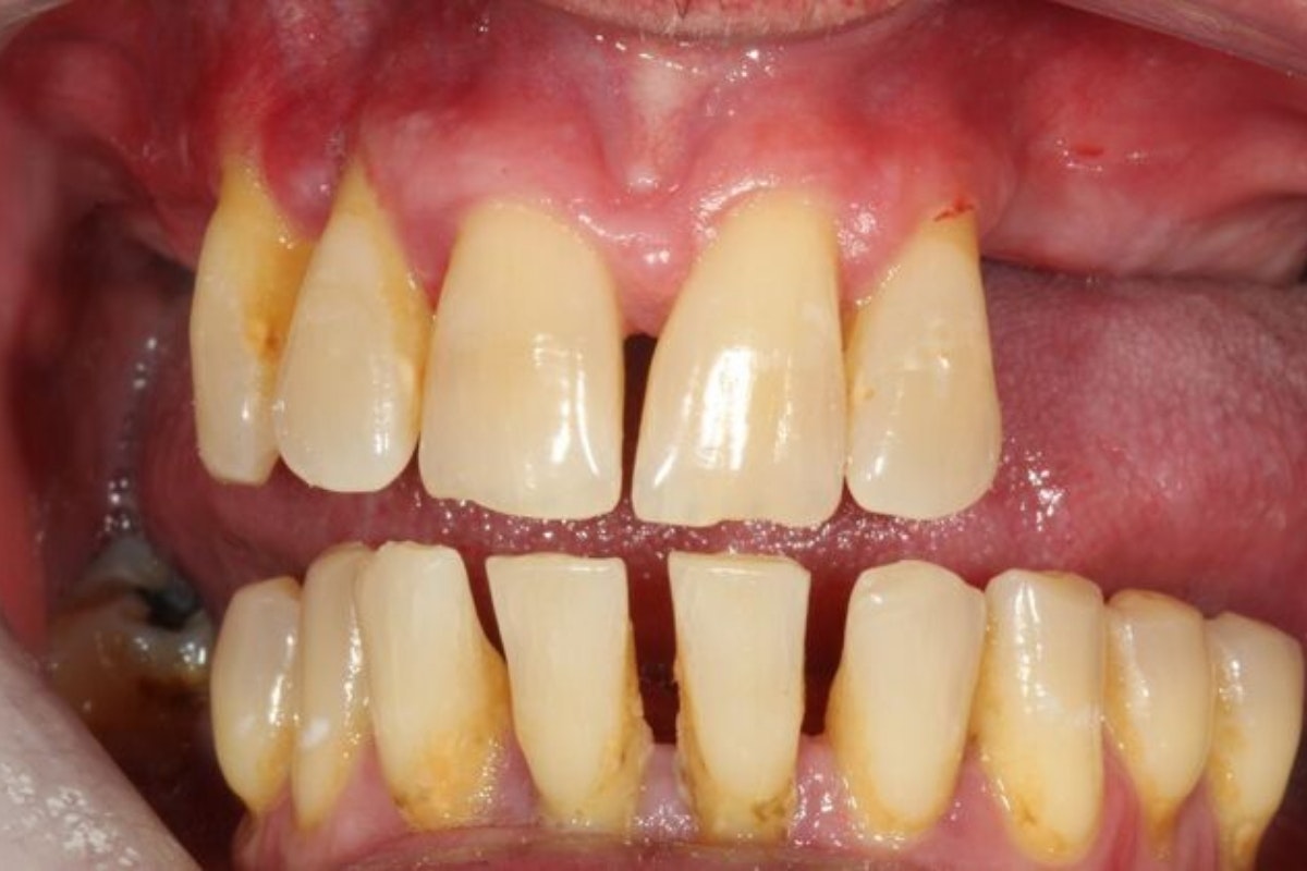
Discreet, Natural-Looking, and Functional See the Stunning Results of All-on-4 Dental Implants
When this patient came to us, they wanted a healthy and functional smile. To make that possible, they wanted to have their natural teeth removed and to explore dental implant-supported dentures instead.
Honest, Nonjudgmental Treatment From a Dentist Who Truly Cares
Dr. Ramirez and his entire staff are very knowledgeable, professional, and empathetic. Dr. Ramirez stays very current with the newest technologies available which enables him to deliver the most positive outcomes possible.
View on GoogleDr. Ramírez, by far, is the best dentist around! He’s gentle, knowledgeable, experienced and honest. He knows what he doing and he’s very good at it! His entire staff is very welcoming and takes the pain out of going to the dentist.
View on GoogleGet to Know Dr. Ramirez
From General Dentistry to Implant Dentistry Our Dentist Maintains Impressive Affiliations
As a board-certified Diplomate of the International Congress of Oral Implantologists, Dr. Ramirez has earned the most exclusive distinction the organization offers. Our dentist achieved the honor by completing additional rigorous training and testing. He is also affiliated with other trusted dental organizations, such as:
Invest in Your Smile & Your Health
All-on-4 dental implants are a life-changing investment, but they're not covered by dental insurance. However, our practice doesn't accept insurance because we don't want providers to limit the quality or techniques of the treatment we offer. Your insurance should cover at least part of your denture and we're happy to help you file for reimbursement.
















