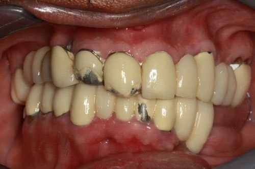
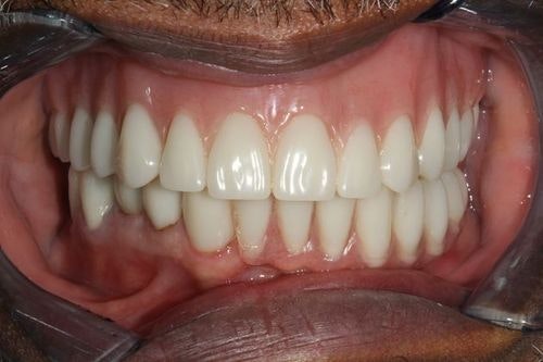
Full Mouth Reconstruction
A combination of severely decayed teeth, missing teeth, unhealthy gums, and other oral health issues can seem very discouraging.
But full mouth reconstruction can resolve all of these issues with a single comprehensive plan.
Anthony Ramirez, DDS, MAGD, in Bay Ridge, NY can develop a full mouth reconstruction plan that addresses your unique concerns.

See What Dr. Ramirez Can Do
Designing Your Customized Treatment Plan
Common Procedures Used in Full Mouth Reconstruction
Fillings
Cavities can be repaired with dental fillings. Dr. Ramirez will remove the decayed tissue and fill the empty space.
Dental Bonding
This versatile dentistry solution uses a tooth-colored resin to fix chips and cracks and conceal cosmetic imperfections like discoloration, misshapen teeth, and gaps between teeth.
Restorations
Restorations like crowns, bridges, and dentures restore and replace teeth. We offer same-day CEREC® crowns to restore damaged teeth, bridges to replace up to three teeth in a row, and dentures to replace entire arches of teeth.
Periodontal Care
We offer gum grafting, crown lengthening, scaling and root planing, ridge modification, and more to improve the health and appearance of the gums.
TMJ Treatment
Temporomandibular joint disorder (TMD) may result in problems like misalignment, chronic migraines, and bruxism. Dr. Ramirez can address TMD to eliminate symptoms, minimize discomfort, and protect your teeth.
Dental Implants
If you have missing teeth, dental implants can be surgically placed in your jaw to support restorations like crowns, bridges, and dentures and prevent the jawbone atrophy that occurs after tooth loss. We place dental implants at our office in Bay Ridge. When cared for properly, dental implants can last a lifetime.
Veneers
Veneers are thin porcelain shells that are placed over the teeth to conceal flaws like discoloration, gaps, misalignment, cracks, and more.
"The ONLY place to go in Bay Ridge."
Dr. Ramirez was so friendly and he gave me a thorough check up and gave me a full analysis of my teeth... I thank you so much for raising the standards of my dental care. I look forward to returning again and again. If you need a dentist, this is the ONLY place to go in Bay Ridge.
View on GoogleDr. Ramirez and his staff are terrific. My son and I will not go to anyone else, he’s the best. Very patient and understanding
View on Google





